歯並びでお困りの症状はどれですか?
Type of Malocclusions
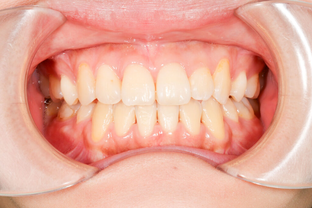
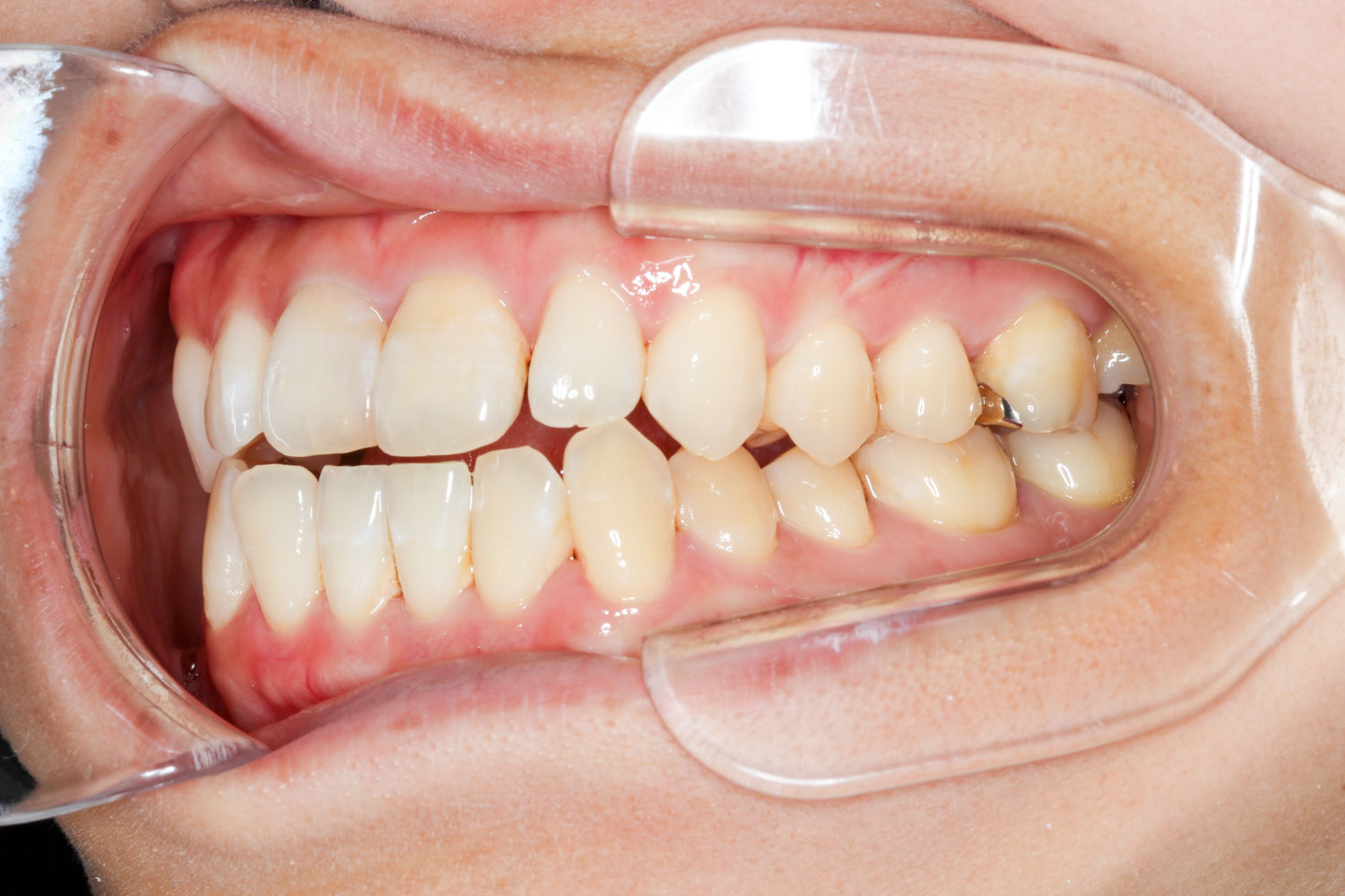
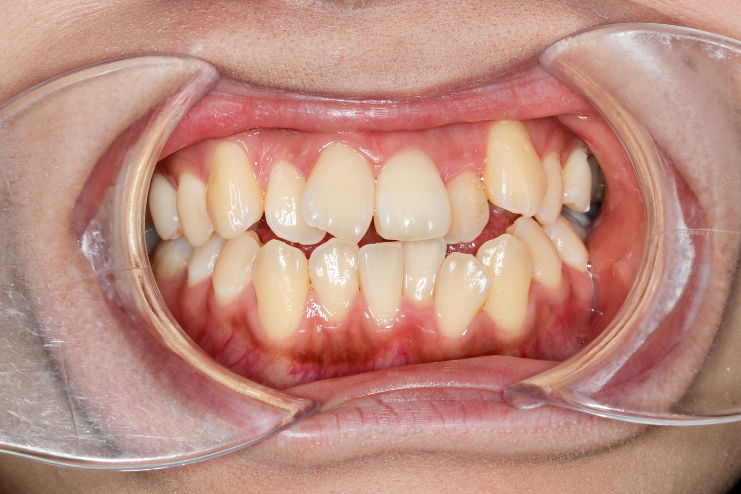
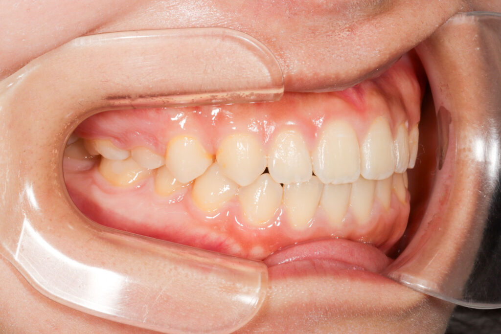
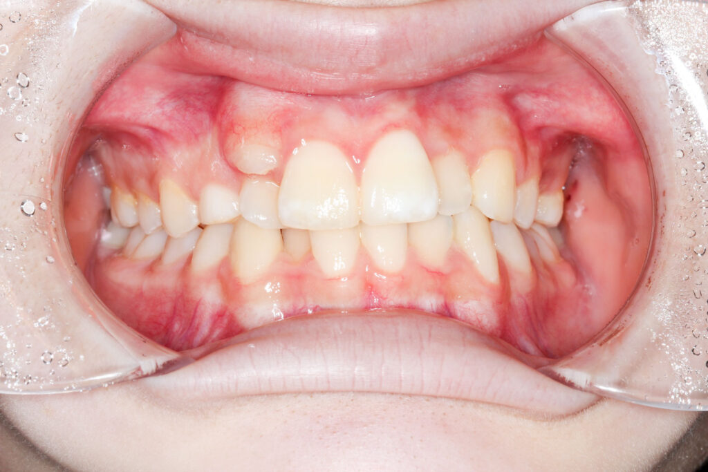
ガタガタが気になる〜叢生〜
歯が大きく、顎が小さいことにより、スペース不足が原因となり、
歯のガタガタが生じます。歯が磨きにくく、
虫歯や歯周病のリスクが高まります。
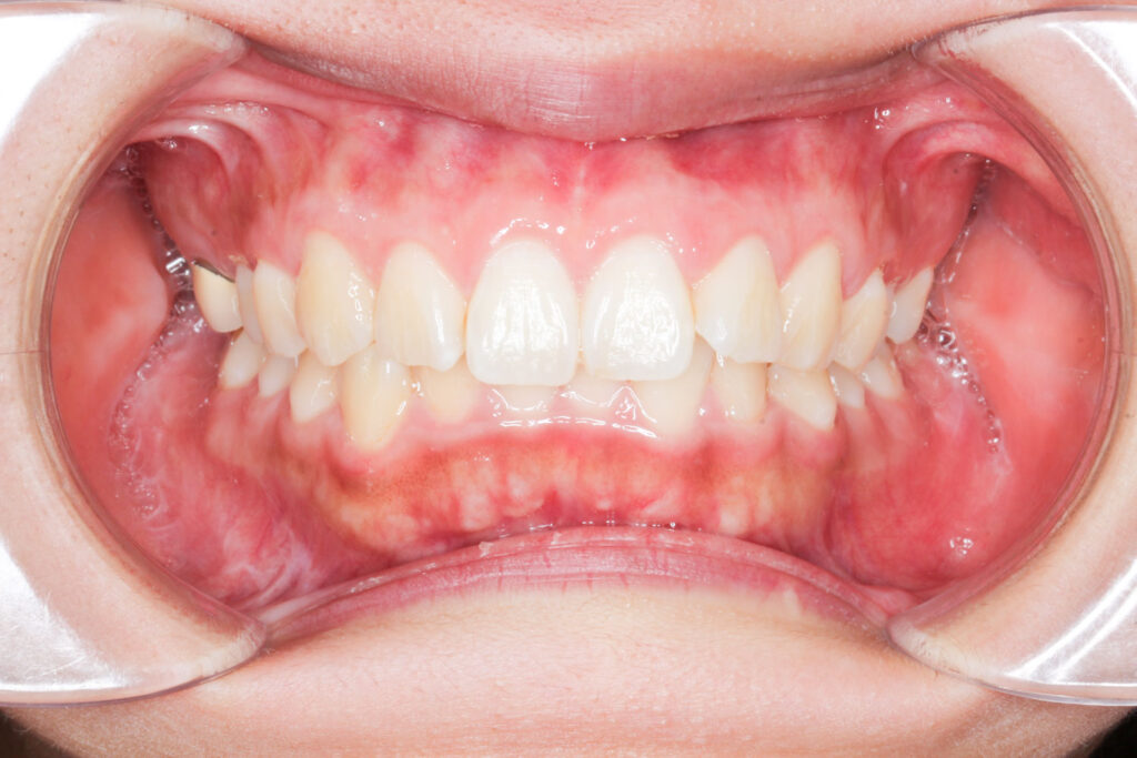
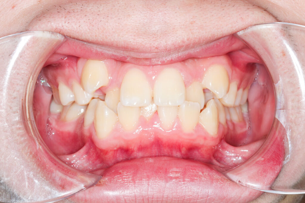
Before
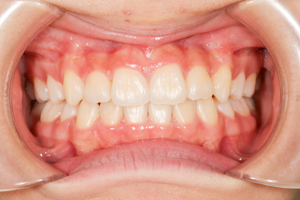
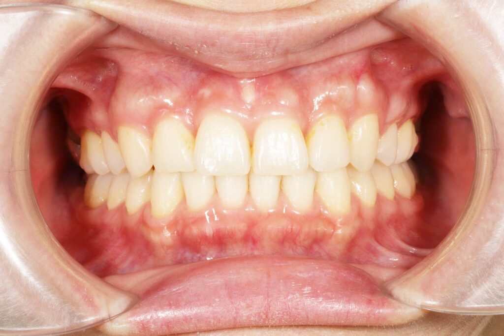
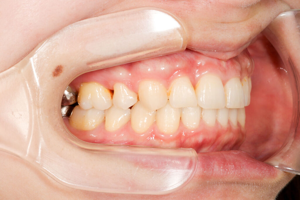
After
年齢 10代
治療装置 上下とも裏側の矯正装置(フルリンガル)
治療内容 非抜歯
治療期間 2年8か月
リスク 歯の移動に伴う痛み、歯肉退縮、歯根吸収、歯肉炎、虫歯
主訴 八重歯が気になる
症状 叢生(ガタガタ)
治療回数 35回程度
総額費用 140万円程度
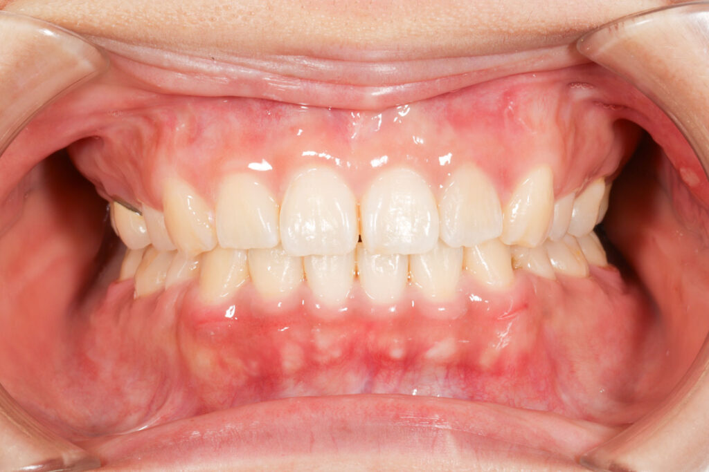
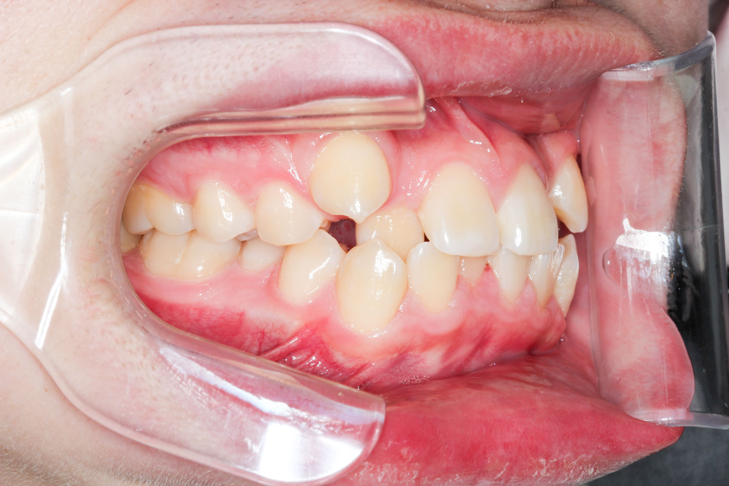
Before
After
年齢 10代
治療装置 表側の矯正装置(ホワイトコース)
治療内容 上下左右4本抜歯
治療期間 2年1か月
リスク 歯の移動に伴う痛み、歯肉退縮、歯根吸収、歯肉炎、虫歯
主訴 ガタガタが気になる
症状 叢生(ガタガタ)
治療回数 25回程度
総額費用 105万円程度
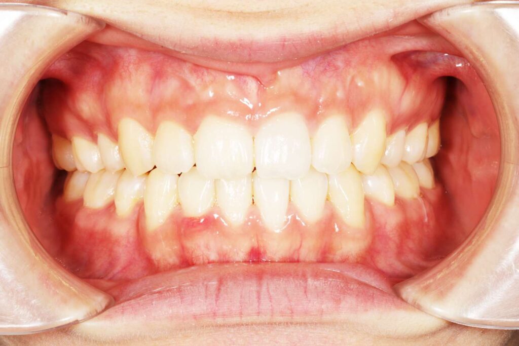
Before
After
年齢 10代
治療装置 上は裏側の矯正装置(ハーフリンガル)
治療内容 上下左右4本抜歯
治療期間 2年8か月
リスク 歯の移動に伴う痛み、歯肉退縮、歯根吸収、歯肉炎、虫歯
主訴 八重歯が気になる
症状 叢生(ガタガタ)
治療回数 33回程度
総額費用 125万円程度
Before
After
年齢 10代
治療装置 上は裏側の矯正装置(フルリンガル)
治療内容 非抜歯
治療期間 2年8か月
リスク 歯の移動に伴う痛み、歯肉退縮、歯根吸収、歯肉炎、虫歯
主訴 ガタガタと隙間が気になる
症状 叢生と正中離開
治療回数 36回程度
総額費用 140万円程度
出っ歯が気になる〜上顎前突〜
上あごや上の前歯が前方に出ている歯並び。唇が閉じにくく、
Before
After
年齢 20代
治療装置 表側矯正装置(ホワイトコース)
治療内容 上下左右4本抜歯
治療期間 2年7か月
リスク 歯の移動に伴う痛み、歯肉退縮、歯根吸収、歯肉炎、虫歯
主訴 ゴボ口
症状 上顎前突と叢生
治療回数 32回程度
総額費用 105万円程度
受け口が気になる〜下顎前突〜
下のあごや下の前歯が前方に出ている歯並び。しばしば、上の前歯に対して下の前歯が前方にある反対咬合になっていることが多い。
Before
After
年齢 20代
治療装置 上だけ裏側の矯正装置(ハーフリンガル)
治療内容 上下左右4本抜歯
治療期間 1年9か月
リスク 歯の移動に伴う痛み、歯肉退縮、歯根吸収、歯肉炎、虫歯
主訴 下の前歯が出ている
症状 下顎前突と叢生と開咬
治療回数 23回程度
総額費用 125万円程度
前歯で噛めない〜開咬〜
噛んだ時に上と下の前歯が接触していない状態です。
奥歯が噛んでいない状態も開咬と呼びます。
Before
After
年齢 20代
治療装置 表側矯正装置(レギュラーコース)
治療内容 上下左右4本抜歯
治療期間 3年2ヶ月
リスク 歯の移動に伴う痛み、歯肉退縮、歯根吸収、歯肉炎、虫歯
主訴 前歯で噛めない
症状 開咬
治療回数 39回程度
総額費用 95万円程度
Before
After
年齢 20代
治療装置 表側矯正装置(ホワイトコース)
治療内容 上下左右4本抜歯
治療期間 2年10ヶ月
リスク 歯の移動に伴う痛み、歯肉退縮、歯根吸収、歯肉炎、虫歯
主訴 ガタガタと前歯で噛めない
症状 開咬と叢生
治療回数 36回程度
総額費用 105万円程度
Before
After
年齢 40代
治療装置 マウスピース型矯正装置
治療内容 非抜歯
治療期間 2年
リスク 歯の移動に伴う痛み、歯肉退縮、歯根吸収、歯肉炎、虫歯
主訴 すきっ歯が気になる
症状 開咬と空隙歯列
治療回数 24回程度
総額費用 105万円程度
噛み合わせが深い〜過蓋咬合〜
上と下の前歯の重なりが大きい噛み合わせです。
下の前歯が上の歯茎を噛んでいることがあります。
Before
After
年齢 20代
治療装置 表側矯正装置(レギュラー)
治療内容 上あご2本抜歯
治療期間 2年5か月
リスク 歯の移動に伴う痛み、歯肉退縮、歯根吸収、歯肉炎、虫歯
主訴 ガタガタが気になる
症状 過蓋咬合と叢生
治療回数 30回程度
総額費用 100万円程度
Before
After
年齢 20代
治療装置 表側矯正装置(レギュラー)
治療内容 上下左右4本抜歯
治療期間 2年5か月
リスク 歯の移動に伴う痛み、歯肉退縮、歯根吸収、歯肉炎、虫歯
主訴 ゴボ口とガタガタが気になる
症状 過蓋咬合と叢生
治療回数 31回程度
総額費用 100万円程度
歯の間に隙間がある〜空隙歯列〜
多数の歯の間に隙間が認められる歯並びで、歯が小さかったり、あごの骨が大きい場合や、舌の圧などによって歯が外側へ溢れていることなどが原因となります。
Before
After
年齢 10代
治療装置 上下とも裏側の矯正装置(フルリンガル)
治療内容 非抜歯
治療期間 2年8ヶ月
リスク 歯の移動に伴う痛み、歯肉退縮、歯根吸収、歯肉炎、虫歯
主訴 ガタガタと隙間が気になる
症状 叢生と正中離開
治療回数 36回程度
総額費用 140万円程度
永久歯が生えてこない〜埋伏歯〜
歯が萌えてくる標準的な時期になっても、萌えてこない歯を埋伏歯と呼びます。レントゲンなどで歯の萌出方向や位置の異常が認められる。近くの歯の歯根を溶かしてしまう場合もあり、
早期治療が必要な場合が多いです。
治療が必要な場合には、開窓術という外科的な処置と、歯を引っ張る矯正治療が必要となります。
Before
After
年齢 10代
治療装置 リンガルアーチ
治療内容 開窓術および埋伏歯牽引術
治療期間 1年
リスク 歯の移動に伴う痛み、歯根吸収
主訴 永久歯が生えてこない
症状 両側犬歯埋伏
治療回数 20回程度
総額費用 45万円程度
埋伏歯牽引を行った後に本格的な矯正歯科治療
(第二期治療)が必要となります。
手術が必要だと言われた〜顎変形症〜
上下の骨のずれが大きく、矯正歯科治療に加えて、手術を併用した治療が必要な場合。下のあごに対して上のあごが出ている骨格性上顎前突や上のあごに対して下のあごが出ている骨格性下顎前突、正面から見て左右にずれている場合などがある。
〈掲載されている写真について〉
・掲載されている症例写真は、すべて当院で治療し、患者様に掲載許可をいただいたものです。
・患者様のお口の状態により、治療期間や治療方法は異なります。
